quarta-feira, 30 de setembro de 2009

COMO ESTRAGAR A FOTO ALHEIA

Oi pessoal!
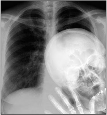
Frequentemente analiso as radiografias e exames de vocês...achei engraçada essa que me mandaram, e resolvi postar em homenagem a vocês, e claro, para descontrair um pouco no último dia do mês!

3 comentários: